Lee Chang-kyun, director of Cheongdam Gounsang Dermatology Clinic, explained, “If you have bumpy bumps on your face, you can suspect large amounts of non-lipoma, han Gwan-jong, flat wart, and small pimples,” adding, “It looks similar, but accurate diagnosis is needed as both the cause and treatment are different.”

Face 'Roll' Prevention Tips
• Use a clean pillow
• Refrain from using excess oil cosmetics
• Wash your face thoroughly so that you don't leave any makeup residue
• Reduce greasy and instant food intake
• Drink water often and apply enough moisture cream

If you have the same symptoms as your daughter, one attention seeker
One tubular tumor, which is easy to be confused with non-lipoma due to its similar shape and site of
, is a type of benign tumor caused by excessive proliferation of sweat glands. It is usually caused by genetic causes and is a common disease in women, so mothers and daughters often show the same symptoms.
While
non-lipoma is slightly yellow, one tubuloma is the same as the skin color, so it does not feel much different from the surrounding skin, and the location of the outbreak is different from that of the epidermis and one tubuloma.
The treatment is to destroy the enlarged sweat gland tube with
carbon dioxide gas laser, high-frequency fine needle, etc. It progresses deep in the skin and is not easy to distinguish from surrounding tissues, so it is more difficult than non-lipoma treatment.
Director Lee advises, "It is easy to miss the timing of treatment because there is no special pain or itching, but if left unattended, bumps can fuse with each other and spread to the entire body, including the face, stomach, and genitals." In the beginning, only one or two procedures can have a great effect, so it is recommended to visit a hospital immediately after discovery, and depending on the condition, a cost of KRW 300,000 to 1 million per session is incurred. The typical number of procedures is about three.

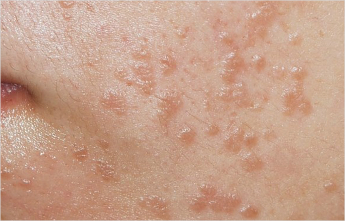
Light brown projection flat grouse
Flat wart caused by excessive proliferation of skin epidermis due to the
papilloma virus infection is similar to narrow acne in appearance, but is characterized by irregular shape and size compared to acne and no grains when squeezed.
Unlike
acne that appears limited to pores, it is also different in that it can appear anywhere on the skin.
There are few symptoms such as
pain, itching, etc., but if you leave it alone, it can gradually spread, so it’s better to see a doctor.
In addition to frozen treatments that freeze and destroy hawks, burn or cut lasers, electric cauterization, and carbon dioxide lasers are used to treat them, and to prevent recurrence, reduced immunity must be restored. The cost of the procedure is around 5,000 won to 10,000 won per unit.

When white sebum builds up, it's a small pimple
When you squeeze the
protrusion, it is sometimes classified as non-lipoma, and when sebum and dead skin cells are mixed, it is also classified as a small pimple without itching or pain because it is not accompanied by inflammation, unlike suppurative pimples.
Self-management is possible to some extent, such as thorough washing, sufficient hydration, dietary control, and stress management, but excessive hand squeezing or scratching can develop into suppurative acne, so be careful.
The
hospital manages narrow acne with medications and ointments, scaling, peeling, and laser treatment. It depends on the condition, but treatment is recommended at least five times every one to two weeks. The total cost is about 600,000 won to 1.1 million won.

keratin theorem first non-lipid species
Non-lipoma, which often occurs around the eyes and cheeks, looks similar to narrow acne, but unlike acne caused by sebum filling pores, it is characterized by accumulation of dead skin cells. Healthy skin naturally sheds dead skin cells, but cells and dead skin cells rise up in pores because skin regeneration does not work well when immunity is reduced or moisture and nutrition are lacking.
Sometimes, you squeeze a protrusion by hand or burst it with a needle to self-treat it, but it is recommended to avoid it because it may leave a scar or be infected with bacteria. Dermatology clinics perform treatment about once by removing keratin grains from pores with a laser or cotton cloth extruder, and then removing hair follicles by burning them with a laser as necessary.
wounds heal in about a week and vary from hospital to hospital, but the cost of treatment per unit is around 10,000 won.
Picture Shutterstock